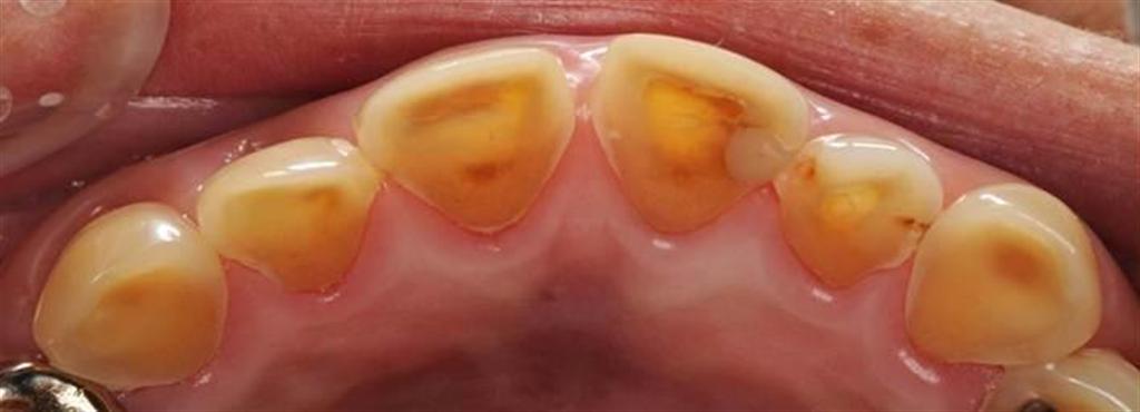
黒酢の原液を飲み続けて、象牙質が露出した状態になった酸蝕歯(東京医科歯科大提供)
閉じる