ヘルスケア

新型コロナ、滋賀医大がサルでヒトの症状再現に成功

 滋賀医大は29日、同大医学部病理学講座の伊藤靖教授らのグループが、カニクイザルを新型コロナウイルスに感染させて症状などを再現し、ワクチンや治療薬の開発につなげる手法を国内で初めて開発したと発表した。ハムスターなどと比べて遺伝的に人間に近いカニクイザルは症状や薬への副作用なども人間と似ているとされ、伊藤教授は「ワクチン開発にかかる時間を数年単位で短縮できる可能性もある」と話している。

 伊藤教授らはウイルスに感染したカニクイザルが人間とよく似た症状や免疫反応を示すことを確認。検査方法などを工夫することにより、実験動物として活用する手法を確立した。カニクイザルは遺伝的に人間に近いため、安全性や有効性が見通しやすいメリットがあり、臨床試験までの期間短縮が期待できるという。

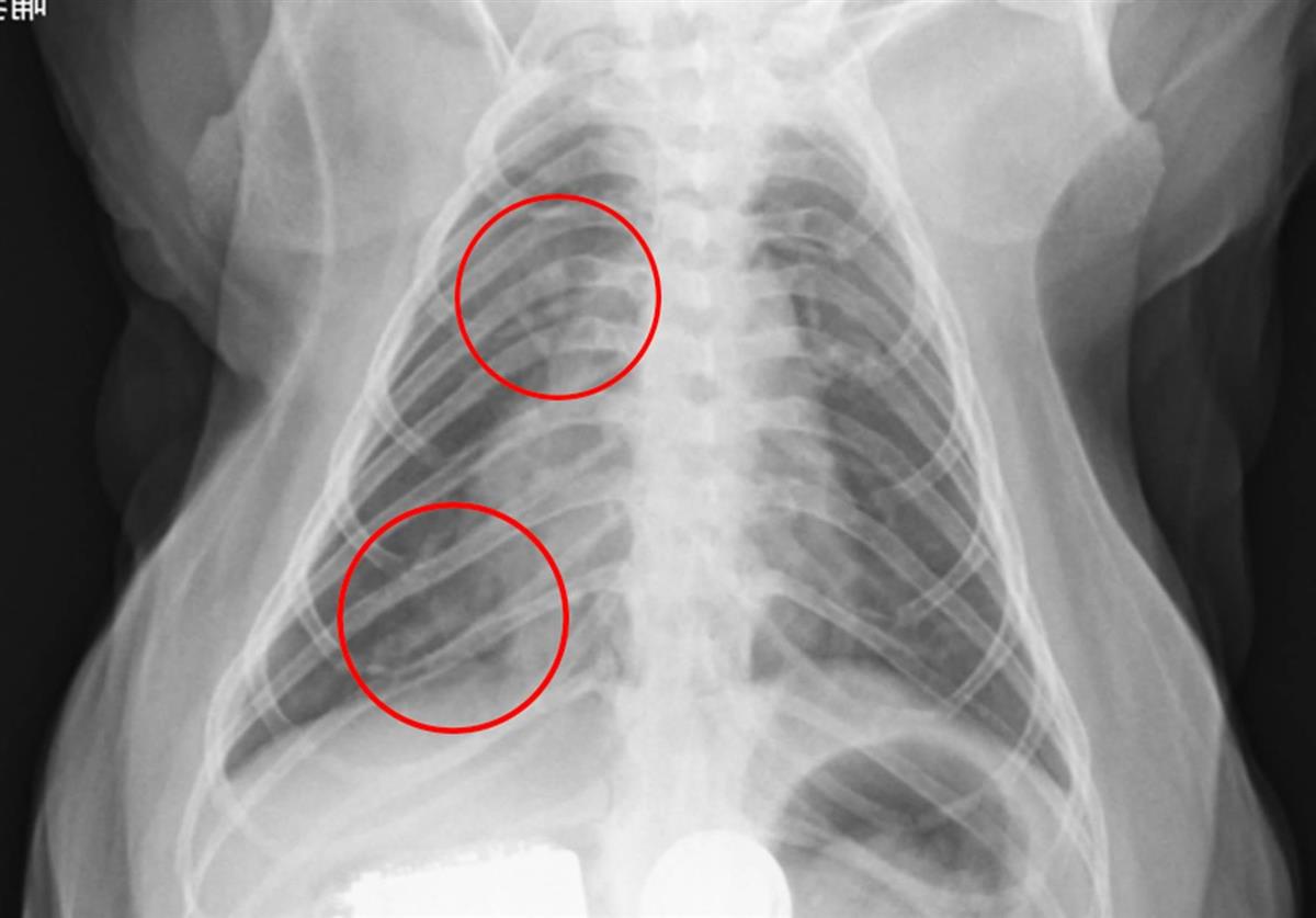
 実験では10~15歳の大人のカニクイザル3頭に新型コロナウイルスを投与したところ、約1週間にわたって鼻や口からウイルスが検出されたほか、発熱や肺炎などの症状がみられた。いずれも軽症で治まった。

 また、感染者の重症化リスクとして指摘されている肺における血栓(血液の塊)の形成も確認。新型コロナの実験動物として現在広く使用されているハムスターでは再現できなかった症状で、29日に滋賀県庁で記者会見した伊藤教授は「より人に近い症状が出ることを確認できた」と説明した。

 9月には東京都医学総合研究所などが開発中のワクチンをカニクイザルに投与する実験を行う予定で、年度内を目標に結果をまとめる。治療薬の実験についても検討を進めており、伊藤教授は「ワクチンや治療薬開発の第一歩。知見を広く共有できれば」と述べた。

Recommend

Ranking

アクセスランキング

Biz Plus