
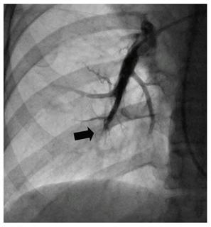
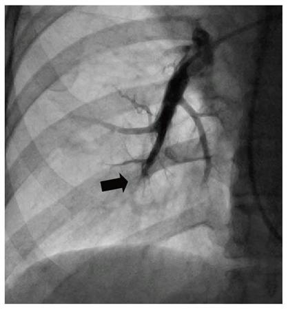
治療前、古い血栓で閉塞した肺動脈の末梢血管(国立循環器病研究センター提供)【拡大】
肺の血管に血栓が詰まり、肺動脈の血圧が高くなることで心臓に負担がかかって機能が低下する難病「慢性血栓塞栓(そくせん)性肺高血圧症(CTEPH)」。ここ5年ほどで治療法が増え、適切に治療すれば約6割が日常生活に支障がないレベルまで回復するようになった。しかし、広く知られた病気ではないため、潜在的な患者もいるとみられる。専門医は「心当たりのある人は検査を」と呼び掛けている。(加納裕子)
6割が回復
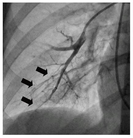
CTEPHは、長時間同じ姿勢でいることで足の静脈に血栓ができ、肺に運ばれて血管を詰まらせ、突然死することもある「急性肺血栓塞栓症(エコノミークラス症候群)」と発症メカニズムはほぼ同じ。ただ、足の静脈に血栓がない人でも発症することがあり、徐々に進行するのが特徴だ。
国立循環器病研究センター肺高血圧症先端医学研究部の大郷剛特任部長(44)によると、血栓が増えると肺に流れる血液量が減って低酸素状態となるため、まず坂道や階段で息切れするようになる。そして、肺動脈の血圧が上がり、肺に血液を送りだす心臓の右心室に負担がかかって肥大化し、機能が落ちていく。結果、血流が滞り、足のむくみや全身のだるさなどの症状も表れる。